Vitt snus lockar – men forskare varnar för långvariga skador
Forskare slår larm om nya problem med munhälsan bland snusare. De kan ta flera månader eller år att läka. Bild: Andrey Popov/123rf
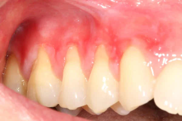
Vitt snus har snabbt blivit populärt bland unga, särskilt kvinnor. Nu slår forskare larm om nya problem med munhälsan – och varnar för att skadorna kan ta månader eller år att läka. ”Vi ser en kronisk inflammation i slemhinnan där snuset läggs”, säger specialisttandläkaren Gita Gale.
Störst användning av vitt snus finns i åldersgruppen 16–29 år, framför allt bland unga kvinnor. I våras startade en ny studie om hälsoriskerna, efter att forskare upptäckt problem med unga vuxnas munhälsa.
– Vi har sett att det uppstår en kronisk inflammation i slemhinnan där man lägger det vita snuset. Den här inflammationen tar lång tid att läka, ibland flera månader eller upp till ett år, säger Gita Gale, disputerad specialisttandläkare vid Institutionen för odontologi vid Göteborgs universitet.
Även med vanligt tobakssnus uppstår förändringar på slemhinnan, men då tar läkningen bara några veckor.

Det uppstår en kronisk inflammation i slemhinnan där man lägger det vita snuset. Bild: Gita Gale/Pressbild
Normalt har snus ett pH-värde på 8–8,5, men vitt snus kan ligga så högt som 10. Ett högre pH-värde ger mer fritt nikotin, som lättare tar sig igenom slemhinnorna och ger en snabbare nikotinkick. Studier har visat att personer som använder vitt snus med höga nikotinhalter har ett förhöjt blodtryck. Det ligger kvar längre än efter att ha rökt en cigarett.
– Vi vet inte så mycket om hur det vita snuset påverkar kroppen. Det är svårt för konsumenter att veta hur starkt snuset är, eftersom det inte alltid står tydligt på förpackningen, säger Gita Gale.
Hon tror att smaksättningen är en viktig anledning till att vitt snus är så populärt. Hon jämför med mentolcigaretter, som blev mycket populära eftersom de kändes fräschare. På samma sätt döljer smaksättningen vad snuset egentligen smakar.
– Det är definitivt ett medvetet val av tobaksindustrin. Jag skulle helst vilja se att man inte har någon smak alls på dem.
Men smaksättningen har även en annan funktion.
– Hjärnans belöningssystem reagerar både på nikotinet och den goda smaken. Dessutom gör till exempel en smak som cool mint att tandköttet kyls ner och man känner inte av att det bränner lika mycket.
Det har gjort att personer som annars kanske inte skulle ha börjat använda nikotinprodukter nu gör det.

Gita Gale är specialisttandläkare och forskar på det vita snusets långvariga effekter. Bild: pressfoto/Gunnar Jönsson
Vitt snus marknadsförs ofta som ett hälsosammare alternativ till tobaksprodukter som cigaretter och vanligt snus. Mängden skadliga ämnen är mindre än vid rökning, men det finns andra problem.
– Snusbolaget gjorde en kundundersökning. Där svarade bara nitton procent att det hjälper dem att inte röka. Det är mindre än var femte person. Därför blir det fel att kalla det hälsofrämjande.
Merparten av vitt snus innehåller nikotinsalter som extraherats från tobaksblad. För att få fram den mängd nikotin som krävs behövs 4–6 gånger så många tobaksblad som för vanligt tobakssnus, vilket är negativt även ur miljösynpunkt.
Eftersom vitt snus är så pass nytt har lagstiftningen först nu börjat komma ikapp. Från januari 2024 måste försäljningsstatistik rapporteras. Innan nikotinlagen trädde i kraft 2022 fanns ingen reglering alls av produkterna.
Kan en kronisk inflammation i munnen öka risken för sjukdomar?
– Det kan jag inte svara på nu, men det är vad vi undersöker med studien.
Fakta om vitt snus
- Merparten innehåller extraherat nikotin från tobaksblad, cellulosa (binde- och fyllnadsmedel), natriumalginat (konsistensgivare), salt, soda, smakämnen och sötningsmedel.
- Har ofta högt pH-värde, vilket gör att nikotinet snabbare tar sig igenom slemhinnorna och ut i blodet med starkare nikotinkickar som följd.
- Har funnits på marknaden i tio år. Klassas som tobaksfritt och lyder inte under tobakslagen. För inköp gäller 18-årsgräns och marknadsföringen är reglerad.
- Användningen ökar snabbt, särskilt bland unga. 25 procent av personer i åldern 16-29 år använder vitt snus regelbundet, och bland unga kvinnor är andelen 27 procent (SOM-institutet, Göteborgs universitet, 2024).
- Källa: Institutionen för odontologi vid Göteborgs universitet